postuchismojutver.ru
postuchismojutver.ru
Найти
Postuchismojutver リップル
»
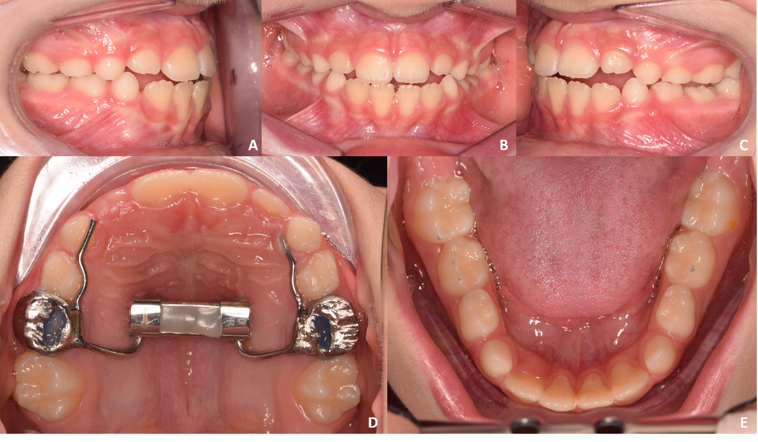
bi helix
» Bi helix expander (91) 사진
Bi helix expander (91) 사진
0
1
2
3
4
5
16 февраль
0
0
bi helix
Похожие статьи
Bi helix orthodontics (93) 사진
Backpack exchange volume (90) 사진
Berachain evm compatible (90) 사진
Kaito binance usdt (85) 사진
Kaito usdt binance futures (95) 사진